矯正歯科専門クリニック
あなたも「短期間」で歯並び改善!
目立たない歯列矯正・痛みも少ない♪
月々¥3,333〜※
※デンタルローンを利用して、マウスピース矯正コース(税込¥400,000)を頭金なし・120回払いで支払う場合の手数料抜き・税込の分割支払い金額になります。信販会社によって、手数料は異なります
マウスピース矯正/裏側矯正/アンカースクリュー矯正☆
出っ歯・八重歯・口ゴボ・すきっ歯の悩みを解決!
97.3%
矯正改善率
1,687件
以上年間症例数
最
短3ヶ月治療完了
【認定医】
常駐
難症例
非抜歯
対応
月々¥3,333~※
※デンタルローンを利用して、マウスピース矯正コース(税込¥400,000)を頭金なし・120回払いで支払う場合の手数料抜き・税込の分割支払い金額になります。信販会社によって、手数料は異なります
マウスピース矯正/裏側矯正/アンカースクリュー矯正☆
出っ歯・八重歯・口ゴボ・すきっ歯の悩みを解決!
歯並びで
お悩みのあなたへ
- 出っ歯・八重歯・口ゴボを治したい!
- 小顔になりたい!輪郭を変えたい!
- 今回をキッカケにEラインを改善したい!
- 下顎のコンプレックスを解消したい!
- 横顔美人になりたい!モテたい!
- 自分を変えたい!笑顔になりたい!
- 自信が持てるようになりたい!
でも…だけど
- 歯並びが気になって人前で
「おもいっきり笑えない...」 - 歯並びが悪いせいでずっと
「自分に自信がもてない...」 - 過去に歯並びを指摘され
「すごくイヤな思い
をした...」 - 初対面の人に会うとき
「どう思われるかいつも
不安...」 - 鏡を見るたびに自分の
「歯並びばかり気に
しちゃう...」 - 歯科医院がたくさんあって
「どこに行けばいいか
わかんない...」 - いくつも歯医者を回るのは
「面倒....」 - 治療が痛そうなので
「不安...」 - 失敗だってしたくない...
- 諦めたくない...
そんな“あなた”に
朗報です!
矯正改善率
97.3%業界トップ
クラス !
症例数年間
1,687件以上 !
経験豊富な
日本成人矯正歯科学会【認定医】
が安心の完全
サポート体制 !
他院で矯正に
失敗した方も安心
対応します!
相談は
何度でも無料 !
あなたに
合った治療方法
ワイヤー矯正
の中から最善な方法
で矯正治療 !
治療途中でも
自由に装置変更も
可能 !
マウスピース矯正
+ワイヤー矯正の
矯正も可能 !
留学中も矯正OK
海外赴任でも安心!
帰国後も
柔軟に対応可能
イベント時にも
柔軟に対応でき
ます!
予約が取りやすい
他院では予約が取りづらい
ですが予約が取りやすく、
キャンセル変更なども
自由にできる!
安心の
トータルフィー制度
(返金保証制度あり:
治療経過により算定)
その他にも…
- 【無料検査】3Dシミュレーション
- 【初回限定】ホワイトニング無料
- 初診料無料 など
- 「女性医師」がすべて対応する
ので男性が苦手な方も、安心! - 歯医者が苦手な方(歯科恐怖症)も安心
明るく楽しい女性医師と、
女性スタッフが
優しくあなたをサポートします♪
まずは、お気軽にお越しくださいませ。
お任せください。私たちがお役に立ちます!!
初めてでも大丈夫!
【認定医】のサポート体制!
「治療期間が短い」の?

それは・・・
『業界トップクラスの実績』がある
【認定医】
だからこそ、他院とは技術が違います!
- 他では治療できない...
- 他では治療が難しい...
- 他院では断られた...
矯正可能です!
さらに、安全に配慮した
「3Dデジタル矯正システム」
でワンランク上の矯正歯科治療が可能です。
- 歯を適切な位置に最短で動かすことが可能なので、治療期間が短い
- 歯や歯根、骨の情報を詳細に診断できる
- 歯が移動しやすい
- 保険の外科矯正より、治療期間が短い
- 日帰り治療が可能
- 歯が移動しやすい
- 先に手術を行なうので、気になるところが早期に改善
- 外科クリニックと提携した専門チーム医療で安心な治療を実現
- 3Dデジタル矯正システムを併用で、短い治療期間で負担を軽減
現場実績豊富な【認定医】が責任をもって、
無料相談から治療に至るまで、ワンストップで完全サポートいたします。
「女性医師」が、分かりやすく丁寧にご説明いたします。
「あなた」に合わせた矯正治療を最後までサポートさせていただきます。
まずは、お気軽にお越しくださいませ。
お任せください。私たちがお役に立ちます!!
選べる治療方法

マウスピース矯正

ワイヤー矯正
マウスピース矯正、ワイヤー矯正の中から
最善な方法で矯正治療を行うことができます
これまでの
症例実績

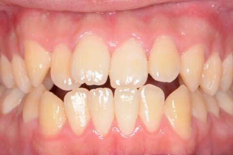
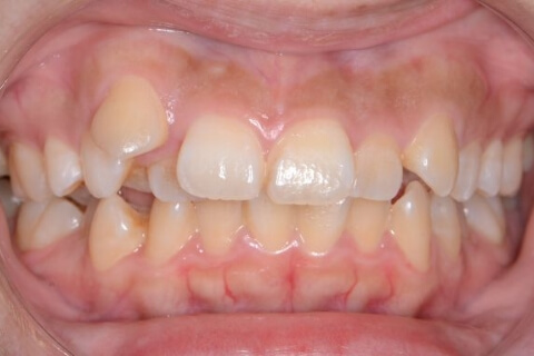
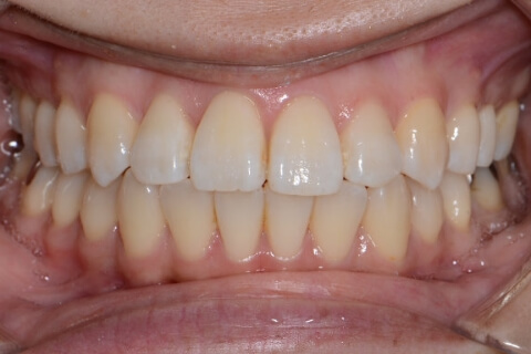
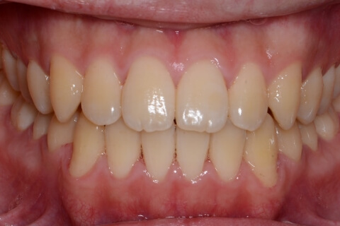
上下前歯の叢生や前方突出などの治療例(治療期間6ヶ月)

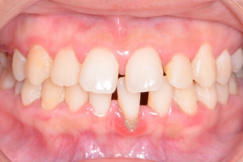
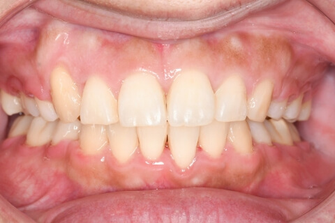
重度の歯肉退縮を伴う「すきっ歯」(空隙歯列)の治療例

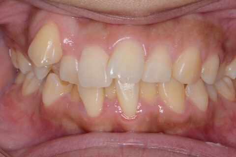
重症度の高い非抜歯の治療例(重度の前歯の凸凹(叢生)と奥歯の咬み合わせのズレ)

歯肉退縮を伴う重度の叢生(ガタガタ歯)の症例

中〜重度の歯槽性の上下顎前突、口唇閉鎖不全の治療例

親知らずの抜歯を行った叢生と開咬の治療例

重度の口ゴボ(歯槽性の上下顎前突と口唇閉鎖不全)の矯正治療例

八重歯と部分的な反対咬合の治療例

歯の凸凹(叢生)と八重歯の矯正治療例

重度の出っ歯と凸凹(叢生)、八重歯の矯正治療例
その他、マウスピース矯正・裏側矯正・
アンカースクリュー・難症例など実績多数!
上下前歯の叢生や前方突出などの治療例(治療期間6ヶ月)
| 診断 | 上下顎中等度の叢生、上顎中切歯の翼状捻転、上下顎前歯のわずかな唇側傾斜 |
|---|---|
| 治療法 | 非抜歯、上顎のみの裏側部分矯正装置による矯正治療 |
| 治療期間 | 6ヵ月(通院回数6回) |
| 治療費 | 裏側矯正(部分上顎のみ) ¥715,000- 精密検査 ¥55,000- ※すべて税込表記です |
| リスク | IPRによる知覚過敏、前歯部のブラックトライアングル、装置による口内炎 |
| 副作用 | 治療中の発音への影響、治療後の凸凹の後戻り |
重度の歯肉退縮を伴う「すきっ歯」(空隙歯列)の治療例
| 診断 | 正中離開、過蓋咬合、上下顎重度の空隙歯列弓、下顎左側中切歯の重度の歯肉退縮 |
|---|---|
| 治療法 | 非抜歯、裏側の矯正装置による治療 |
| 治療期間 | 1年(通院回数12回) |
| 治療費 | 裏側全体矯正 ¥1,210,000- 精密検査 ¥55,000- ※すべて税込表記です |
| リスク | 治療中の虫歯の可能性、上前歯部の歯根吸収、歯肉退縮が改善できない可能性 |
| 副作用 | 治療中の矯正装置による口内炎、歯根吸収 |
重症度の高い非抜歯の治療例(重度の前歯の凸凹(叢生)と奥歯の咬み合わせのズレ)
| 診断 | 上下顎中等度の叢生、上顎前歯の舌側傾斜、下顎前歯の欠損 |
|---|---|
| 治療法 | 非抜歯、裏側矯正装置による矯正治療 |
| 治療期間 | 1年5ヵ月(通院回数17回)※予定は2年半以上でした |
| 治療費 | 裏側全体矯正 ¥1,210,000- 精密検査 ¥55,000- ※すべて税込表記です |
| リスク | 前歯部のブラックトライアングル、装置による口内炎 |
| 副作用 | 治療中の発音への影響、治療後の凸凹の後戻り |
歯肉退縮を伴う重度の叢生(ガタガタ歯)の症例
| 診断 | 上顎右側犬歯の低位唇側転位、上下顎重度の叢生、下顎前歯の歯肉退縮 |
|---|---|
| 治療法 | 上下顎左右第一小臼歯の抜歯、表側の矯正装置による治療 |
| 治療期間 | 2年(通院回数24回) |
| 治療費 | 表側全体矯正 ¥990,000- 抜歯4本 ¥44,000- 精密検査 ¥55,000- ※すべて税込表記です |
| リスク | 治療中の虫歯の可能性、上前歯部の歯根吸収、歯肉退縮が改善できない可能性 |
| 副作用 | 治療中の矯正装置による口内炎、治療後の抜歯部位の後戻り |
中〜重度の歯槽性の上下顎前突、口唇閉鎖不全の治療例
| 診断 | 口唇閉鎖不全、大きなover jet、上下顎前歯の唇側傾斜(歯槽性の上下顎前突)、上下顎中等度の叢生 |
|---|---|
| 治療法 | 上顎左右第一小臼歯・下顎左右第二小臼歯の抜歯 ミニスクリューによる加強固定、裏側の矯正装置による治療 |
| 治療期間 | 2年2ヶ月(通院回数26回) |
| 治療費 | 裏側全体矯正 ¥1,210,000- 矯正用インプラント ¥165,000- 抜歯4本 ¥44,000- 精密検査 ¥55,000- ※すべて税込表記です |
| リスク | 治療中の虫歯の可能性、上下顎前歯の歯根吸収、ミニスクリュー埋入部位の炎症 |
| 副作用 | 治療中の矯正装置による口内炎、治療後の抜歯空隙の後戻り |
親知らずの抜歯を行った叢生と開咬の治療例
| 診断 | 前歯部開咬、上下顎前歯のわずかな唇側傾斜、上下顎中等度の叢生 |
|---|---|
| 治療法 | 智歯の抜歯、上顎裏側・下顎表側(ハーフ・リンガル)による治療 |
| 治療期間 | 10ヶ月(通院回数10回) |
| 治療費 | ハーフリンガル矯正(上顎裏側矯正・下顎表側矯正) ¥1,100,000- 抜歯4本(親知らず・大学病院にて) 精密検査 ¥55,000- ※すべて税込表記です |
| リスク | 治療中の虫歯の可能性、IPRによる知覚過敏 |
| 副作用 | 治療中の矯正装置による口内炎、治療後の開咬の後戻り |
重度の口ゴボ(歯槽性の上下顎前突と口唇閉鎖不全)の矯正治療例
| 診断 | 口唇閉鎖不全、大きなover jet、上下顎前歯の唇側傾斜(歯槽性の上下顎前突)、上顎中切歯の翼状捻転、上下顎中等度の叢生 |
|---|---|
| 治療法 | 上顎左右第一小臼歯・下顎左右第二小臼歯の抜歯、ミニスクリューによる加強固定、裏側の矯正装置による治療 |
| 治療期間 | 2年6ヶ月(通院回数30回) |
| 治療費 | 裏側全体矯正 ¥1,210,000- 矯正用インプラント ¥165,000- 抜歯4本 ¥44,000- 精密検査 ¥55,000- ※すべて税込表記です |
| リスク | 治療中の虫歯の可能性、上下顎前歯の歯根吸収、ミニスクリュー埋入部位の炎症 |
| 副作用 | 治療中の矯正装置による口内炎、治療後の抜歯空隙の後戻り |
八重歯と部分的な反対咬合の治療例
| 診断 | 上顎両側犬歯の低位唇側転位、上顎両側側切歯の反対咬合 |
|---|---|
| 治療法 | 非抜歯、裏側の矯正装置による治療 |
| 治療期間 | 1年(通院回数12回) |
| 治療費 | 裏側全体矯正 ¥1,210,000- 精密検査 ¥55,000- ※すべて税込表記です |
| リスク | 前歯部のブラックトライアングル、装置による口内炎 |
| 副作用 | 治療中の発音への影響、治療後の凸凹の後戻り |
歯の凸凹(叢生)と八重歯の矯正治療例
| 診断 | 上顎両側犬歯の低位唇側転位、上下顎重度の叢生、上顎側切歯のcross bite |
|---|---|
| 治療法 | 上下左右第二小臼歯の抜歯、裏側の矯正装置による治療 |
| 治療期間 | 1年6ヶ月(通院回数18回) |
| 治療費 | 裏側全体矯正 ¥1,210,000- 抜歯4本 ¥44,000- 精密検査 ¥55,000- ※すべて税込表記です |
| リスク | 治療中の虫歯の可能性、上下前歯部の歯根吸収 |
| 副作用 | 治療中の矯正装置による口内炎、治療後の抜歯部位の後戻り、下顎前歯部のブラックトライアングル(隙間)の出現 |
重度の出っ歯と凸凹(叢生)、八重歯の矯正治療例
| 診断 | 上顎両側犬歯の低位唇側転位、上下顎重度の叢生、上顎骨の前方突出 |
|---|---|
| 治療法 | 上顎左右第一小臼歯の抜歯、表側の矯正装置による治療 |
| 治療期間 | 1年10ヶ月(通院回数22回) |
| 治療費 | 表側全体矯正 ¥990,000- 抜歯2本 ¥22,000- 精密検査 ¥55,000- ※すべて税込表記です |
| リスク | 治療中の虫歯の可能性、上前歯部の歯根吸収 |
| 副作用 | 治療中の矯正装置による口内炎、治療後の抜歯部位の後戻り |
院長紹介

-
院長 小林 聡美 こばやしさとみ
【日本成人矯正歯科学会 認定医】アメリカアラインテクノロジー社認定 インビザライン専門ドクター
デンツプライシロナ社認定 SureSmile Advance/Orhto/Aligner 認定クリニック院長
アラガン社認定 VST:Very Sophisticated Treatment 施注資格ドクター
日本歯科医学振興機構 臨床歯科麻酔管理指導医
-



-
アメリカアラインテクノロジー社認定 インビザライン専門ドクター
デンツプライシロナ社認定 SureSmile Advance/Orhto/Aligner 認定クリニック院長
アラガン社認定 VST:Very Sophisticated Treatment 施注資格ドクター
日本歯科医学振興機構 臨床歯科麻酔管理指導医
略歴
北海道医療大学 卒業
Tweed Foundation Pre-Tucson Couse 修了
Aesthetic Prosthodontic Preparation Practice Course 修了
Invisalign Training Course 修了
CLEARii Invisalign Methodology Course 修了
Dental Health Association Prosthodontics Course 修了
- 平成26年
- 都内矯正専門クリニック 院長就任
- 同年
- iTERO(口腔内3Dスキャナー)を日本における矯正専門クリニックで初導入
- 同年
- iTEROを用いたデジタル美容医療(デジタル補綴治療)のネットワークを初構築
- 平成28年
- 医療法人社団デジタルデンティストリー 入職
- 平成29年
- カリフォルニア州立大学ロサンゼルス校 Academy of Orofacial Myofunctional Therapy 修了
- 平成30年9月
- K Braces矯正歯科原宿駅前 院長就任
- 令和1年6月
- kawaii矯正商標登録済み
- 令和4年11月
- 日本成人矯正歯科学会認定申請の資格取得
院長メッセージ
初めまして。K Braces矯正歯科原宿駅前・院長の小林聡美です。
「思いきり笑える自分に、出会ってほしい。」
私が矯正治療にこだわる理由は、“笑顔が変わると人生が変わる”と信じているからです。
多くの患者様が、最初は口元を隠して笑っていました。でも、矯正を終える頃にはみんな口を揃えてこう言います。
「綺麗な歯を見せたい」「笑うのが楽しくなった」と。
歯並びが整うと、自然と笑顔が増え、表情筋がしっかり動くことで顔全体がリフトアップし、若々しい印象に。
矯正治療は、美しさと健康を同時に叶えるアンチエイジング治療でもあります。それが、私が矯正にこだわる理由です。
“自信を持って笑える自分”を、矯正治療で手に入れてみませんか?
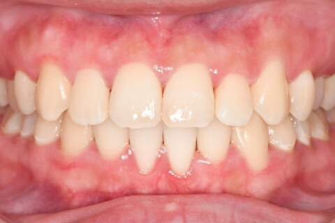
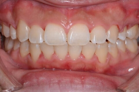
患者様の声
治療メニュー
治療方法が選べます
-
01
マウスピース矯正
目立たない、透明なマウスピース型矯正装置をつける治療方法です。
-
02
裏側矯正(ワイヤー矯正)
表からは目立たないように歯の裏側に矯正装置をつける治療方法です。
-
03
表側矯正(ワイヤー矯正)
歯の表側に矯正装置をつけて、歯並びを整えていく治療方法です。
kawaii矯正対応 -
04
ハーフリンガル矯正
目上の歯を裏側矯正、下の歯を表側矯正で行う治療方法です。
kawaii矯正対応 -
05
kawaii矯正®
表側矯正やハーフリンガル矯正など、表側から見える矯正治療に対応しています。
-
06
インプラント矯正
基準となる矯正用インプラントを埋め込み、その他の歯を整える治療方法です。
無料カウンセリングの流れ
-
STEP 1
無料カウンセリングのご予約
まずは、「LINE予約」または「お電話」にてご予約ください。
LINEの場合は、友だち追加後の「予約カレンダー」から、お好きな日程をお選びください(24時間対応)。
-
STEP 2
当クリニックへご来院
ご予約完了後、原宿駅から徒歩1分の当クリニックへお越しください。
入り口で、ロボホンがあなたをお迎えいたします。
なお、ご希望の場合はオンラインでも実施が可能です。
-
STEP 3
カウンセリング実施
お口の中の写真を撮影し、状態を拝見しながら、歯並びに関するお困りごとや疑問などを詳しくお聞きします。(所要時間:約60分)
-
STEP 4
治療のご提案・ご説明
あなたのご希望に応じて治療内容をご提案のうえ、治療にかかる費用やお支払い方法などについてご説明いたします。
気になることがあれば何でもご相談くださいね♪
-
STEP 5
☆★☆ 矯正治療開始 ☆★☆
矯正応援☆
12大特典
12大特典
初回
ホワイトニング
初回
クリーニング
矯正専用
歯ブラシセット
MFT
(口腔筋機能療法)
トータル
フィー制度
追加費用が
すべて無料)
口腔内3D
スキャナー
経過レントゲン・
口腔内写真撮影も
調整料
無料保定装置
無料装置の
脱離・破損
他院では有料の
IPR治療
初診料
無料さらに!今なら!
【矯正加速装置】も
無料プレゼント中☆
「光加速装置」を使用することで、通常の矯正治療に比べて、治療期間が最大で「64%」短縮!
痛みなどの不快感を減少します。
マウスピース矯正との相性も良く、治療効果が絶大です。
FDA(米国食品医療局)が認可した唯一の高周波振動装置です。

無料相談は
コチラから
- 「女性医師」がすべて対応
- 平日20時迄/土祝日もOK
- カウンセリング何度も無料
- デンタルローン審査のみ可
注意
多数のご予約をいただいております。先着順でご案内し定員に達し次第、受付を終了いたします。
ご来院希望の方はお早めにご予約ください。
☆簡単17秒で予約完了。空き枠がない場合はページが表示されません。
LINEかんたん予約
まずはLINE予約する!
お問い合わせフォーム(LINEをご利用でない方はこちら)
電話予約
お電話からもご予約いただけます(通話無料)
0120-811-817
[ 電話予約/受付時間 ]
24時間 365日 受付中
無理な勧誘は一切ございません。
初回カウンセリングでは、強引な勧誘は一切いたしません。
契約は必須ではありませんので、お気軽にお申し込みください。

よくあるご質問
(FAQ)
- マウスピース矯正でキレイになりませんでしたが対応可能ですか?
- マウスピース矯正は限界があります。当院にお越しの方の多くはマウスピース矯正でキレイにならなかった方も多くご来院されます。
- 矯正治療は痛いですか?
- 当院では最新のデジタル矯正を導入をしていますので、弱い力で効率よく歯を動かすため、多くの患者さんは「案外痛くなかった!」とおっしゃられます。
- 麻酔注射は痛くないですか?
- 塗り薬の表面麻酔を施してから注射を打ちますので痛みはまったくありませんのでご安心ください。
- 矯正期間はどれくらいですか?
- 他の矯正歯科は3~年かかりますが、最新のデジタル矯正を用いることで治療期間が大幅に短くなります。実際に論文として発表されています。
- 矯正器具(モジュール)は治療途中に変えることはできますか?
- 別途費用はかかりますが、お気に入りのデザインに変えることが可能です。季節毎のおしゃれとして楽しんでいる方もいらっしゃいます。
- 私の歯並びは、かなり悪いのですが、それでも治療できますか?
- 最新機器、最新技術を導入していますのでどんな歯並びでも治療できます。ご安心ください。
- 通うことが難しいのですが、他の院でもできるのでしょうか?
- 当院は材料をアメリカの業者より仕入れていますので、当院でしかできない治療となっております。予めご了承くださいませ。
お支払いに関して
-
お支払い方法
当院では、以下のお支払い方法がご利用いただけます。
-
現金
現金・振込でのお支払いが可能です。
-
クレジットカード
VISA、MASTER、JCB、AMERICANEXPRESSなどが利用可能です。
-
デンタルローン
JACCSやアプラスのデンタルクレジットローンによる分割払いが可能です。
-
電子マネー
PASMO、suicaなどの交通系ICカード全てでのお支払いが可能です。
-
-
トータルフィーについて
当院では、お得な定額費用制度(トータルフィー)を導入しております。
処置別払い制度 定額費用(トータルフィー)制度 毎回調整料
毎回調整料
毎回調整料
基本矯正費用
保定装置(リテーナー)の制作費
急患対応
診察・治療進行具合の確認
調整料
矯正装置の製作
矯正装置の設置・除去
治療期間に応じて矯正費用が変動 歯並びを治すのに最適な費用制度 -
医療費控除について
1年間(1月1日から12月31日)にご本人と生計を共にするご家族が支払った医療費の合計が10万円以上の場合、医療費控除の対象となります。
確定申告により、所得税の還付や住民税の軽減を受けられる可能性があるため、医療費や通院にかかった交通費の領収書などは大切に保管してください。
詳しくは、税務署にご相談ください。
TV・雑誌で
「カワイイ」と絶賛!
医院情報・アクセス
-
医院名
K Braces(ケイブレイシーズ)矯正歯科 原宿駅前
-
住所
〒150-0001
東京都渋谷区神宮前1-14-24 原宿TWビル 5階 -
電話番号
0120-811-817(通話料無料)
-
最寄駅
JR原宿駅より徒歩1分
東京メトロ(千代田線・副都心線)明治神宮前駅3番出口より徒歩1分 -
院長
小林 聡美
-
診察時間
[ 平日 ] 12:00~15:00/15:45~20:00
[ 土曜 ] 10:00~16:00 -
休診日
木曜日・日曜日・祝日不定休
-
所属学会
・日本成人矯正歯科学会 正会員 認定医
・日本デジタル矯正歯科学会 正会員 認定医
・日本矯正歯科学会 正会員
・日本舌側矯正歯科学会 正会員
・日本審美歯科学会 正会員
・日本レーザー歯学会 正会員
・日本歯周病学会 正会員 -
矯正歯科/矯正治療の
一般的なリスク・副作用
ご利用前にご一読をお願いします
- 機能性や審美性を重視するため自費(保険適用外)での診療となり、保険診療よりも高額になります。
- 最初は矯正装置による不快感、痛みなどがあります。数日から1~2週間で慣れることが多いです。
- 治療期間は症例により異なりますが、成人矯正や永久歯がすべて生え揃っている場合は、一般的に1年半~3年を要します。小児矯正においては、混合歯列期(乳歯と永久歯が混在する時期)に行なう第1期治療で1~2年、永久歯がすべて生え揃った後に行なう第2期治療で1~2年半を要することがあります。
- 歯の動き方には個人差があるため、治療期間が予想より長期化することがあります。
- 装置や顎間ゴムの扱い方、定期的な通院など、矯正治療では患者さまのご協力がたいへん重要であり、それらが治療結果や治療期間に影響します。
- 治療中は、装置がついているため歯が磨きにくくなります。虫歯や歯周病のリスクが高まるので、丁寧な歯磨きや定期メンテナンスの受診が大切です。また、歯が動くことで見えなかった虫歯が見えるようになることもあります。
- 歯を動かすことにより歯根が吸収され、短くなることがあります。また、歯肉が痩せて下がることがあります。
- ごくまれに、歯が骨と癒着していて歯が動かないことがあります。
- ごくまれに、歯を動かすことで神経に障害を与え、神経が壊死することがあります。
- 治療中に金属などのアレルギー症状が出ることがあります。
- 治療中に、「顎関節で音が鳴る、顎が痛い、口をあけにくい」などの顎関節症状が出ることがあります。
- 問題が生じた場合、当初の治療計画を変更することがあります。
- 歯の形状の修正や、噛み合わせの微調整を行なうことがあります。
- 矯正装置を誤飲する可能性があります。
- 装置を外すときに、エナメル質に微小な亀裂が入る可能性や、補綴物(被せ物など)の一部が破損することがあります。
- 装置を外した後、保定装置を指示どおりに使用しないと後戻りが生じる可能性が高くなります。
- 装置を外した後、現在の噛み合わせに合わせて補綴物(被せ物など)の作製や虫歯治療などをやり直す可能性があります。
- 顎の成長発育により、噛み合わせや歯並びが変化する可能性があります。
- 治療後に親知らずが生えて、歯列に凹凸が生じる可能性があります。
- 加齢や歯周病などにより歯を支える骨が痩せると、歯並びや噛み合わせが変化することがあります。その場合、再治療が必要になることがあります。
- 矯正治療は、一度始めると元の状態に戻すことが難しくなります。






毎月かわいいデザインを考えたり、楽しく矯正することができました!
進捗状況なども聞くと丁寧に説明してもらえたので安心して続けることができました!
どんどん歯並びが綺麗になっていって満足してます!
優しく歯磨きの仕方なども教えていただけます!
いつも丁寧に施術して頂いています。
もう少しで矯正が終わるので、最後までよろしくお願いいたします!
丁寧なカウンセリングと治療でした。
きれいな歯並びになりました。
予約も取りやすいです。
可愛い矯正をしたくてここを選びました。
人からも褒められて、矯正中毎月色を変えられて楽しいです*
院内もネオンで可愛く、キレイで、落ち着いた雰囲気です。
アクセスも便利で、原宿駅から徒歩すぐで迷う事なし!
先生もキレイだし、施術も丁寧で良かったです。